Ściąganie szwów z dziąsła to procedura, która często budzi obawy pacjentów dotyczące bólu. W rzeczywistości, większość osób zgłasza jedynie niewielkie uczucie dyskomfortu, które można porównać do delikatnego ciągnięcia lub kłucia. Zabieg ten jest zazwyczaj szybki i nie wymaga znieczulenia, ponieważ szwy są już częściowo wchłaniane przez tkankę, co ogranicza odczucie bólu.
Warto jednak pamiętać, że opóźnienie w usunięciu szwów może prowadzić do poważniejszych problemów zdrowotnych, takich jak infekcje. Dlatego istotne jest, aby szwy zostały zdjęte w odpowiednim czasie, zazwyczaj od 7 do 14 dni po zabiegu. W tym artykule omówimy, jakie odczucia towarzyszą usuwaniu szwów, jak się do tego przygotować oraz kiedy należy zgłosić się do dentysty.
Kluczowe wnioski:- Ściąganie szwów z dziąsła zazwyczaj nie powoduje znacznego bólu.
- Większość pacjentów odczuwa jedynie niewielki dyskomfort podczas zabiegu.
- Procedura trwa zazwyczaj kilka minut i nie wymaga znieczulenia.
- Opóźnienie w usunięciu szwów może prowadzić do infekcji i innych poważnych problemów zdrowotnych.
- Po zdjęciu szwów mogą wystąpić naturalne objawy gojenia, takie jak krwawienie czy obrzęk.

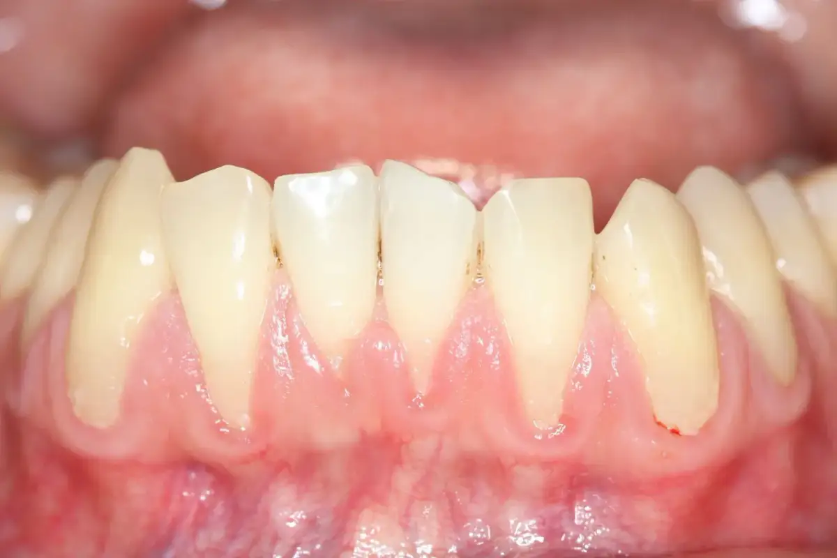
Czy ściąganie szwów z dziąsła boli? Fakty i mity o bólu
Wiele osób zastanawia się, czy ściąganie szwów z dziąsła boli. W rzeczywistości, większość pacjentów zgłasza jedynie lekki dyskomfort, który można porównać do delikatnego ciągnięcia lub kłucia. Zabieg ten jest zazwyczaj szybki, trwa zaledwie kilka minut i nie wymaga znieczulenia, ponieważ szwy są już częściowo wchłaniane przez tkankę. Dzięki temu, odczucie bólu jest minimalne, a wiele osób nie odczuwa go wcale.
Warto również podkreślić, że obawy dotyczące bólu są często przesadzone. Pacjenci, którzy przeszli ten zabieg, często dzielą się pozytywnymi doświadczeniami, a ich relacje wskazują, że nie ma powodu do strachu. W przypadku osób o szczególnej wrażliwości, dentysta może zastosować znieczulenie miejscowe, takie jak żel z lidokainą, ale jest to rzadko potrzebne. Ważne jest, aby usunięcie szwów odbyło się w odpowiednim czasie, co pozwoli uniknąć ewentualnych komplikacji.
Jakie odczucia towarzyszą usuwaniu szwów z dziąsła?
Podczas usuwania szwów z dziąsła, pacjenci mogą doświadczać różnych odczuć. Najczęściej jest to delikatne ciągnięcie lub kłucie, które jest spowodowane naciąganiem nici. Wiele osób opisuje to jako lekki dyskomfort, a nie ból. Dodatkowo, niektórzy pacjenci wspominają o uczuciu napięcia w obrębie dziąsła, które szybko mija po zakończeniu zabiegu.
- Wielu pacjentów nie odczuwa bólu, a jedynie niewielki dyskomfort.
- Niektóre osoby doświadczają uczucia napięcia, które jest krótkotrwałe.
- Cały proces usuwania szwów trwa zazwyczaj kilka minut.
Dlaczego większość pacjentów nie odczuwa bólu podczas zabiegu?
Większość pacjentów zgłasza minimalny ból lub całkowity brak bólu podczas ściągania szwów z dziąsła. Istnieje kilka czynników, które przyczyniają się do tego pozytywnego doświadczenia. Po pierwsze, szwy są często już częściowo wchłaniane przez tkankę, co sprawia, że ich usunięcie jest mniej odczuwalne. Po drugie, procedura jest zazwyczaj szybka, co ogranicza czas, w którym pacjent może odczuwać jakiekolwiek nieprzyjemne doznania.
Dodatkowo, środowisko dentystyczne oraz doświadczenie stomatologa mają kluczowe znaczenie. Wiele gabinetów stomatologicznych stosuje techniki, które minimalizują dyskomfort, a dentysta jest w stanie szybko i sprawnie usunąć szwy. W przypadku osób, które mogą być bardziej wrażliwe na ból, dentysta może zaoferować znieczulenie miejscowe, choć to jest rzadko konieczne. Dzięki tym czynnikom, większość pacjentów czuje się komfortowo podczas zabiegu.
Jak przygotować się na ściąganie szwów z dziąsła? Przydatne wskazówki
Przygotowanie się na ściąganie szwów z dziąsła może znacząco wpłynąć na doświadczenie pacjenta. Po pierwsze, warto zadbać o mentalne nastawienie, aby zredukować stres związany z wizytą u dentysty. Techniki relaksacyjne, takie jak głębokie oddychanie czy wizualizacja spokojnych miejsc, mogą być bardzo pomocne. Dobrze jest także rozmawiać z dentystą o swoich obawach, co często przynosi ulgę i zwiększa poczucie bezpieczeństwa.
Oprócz przygotowania psychicznego, fizyczna gotowość jest równie ważna. Upewnij się, że dzień przed zabiegiem unikasz spożywania alkoholu oraz ciężkostrawnych potraw, które mogą wpływać na Twoje samopoczucie. Pamiętaj również, aby zadbać o odpowiednią higienę jamy ustnej, co pomoże w szybszym gojeniu się tkanek po usunięciu szwów. Im lepiej przygotujesz się do zabiegu, tym większe prawdopodobieństwo, że przebiegnie on sprawnie i bezproblemowo.
Techniki relaksacyjne przed wizytą u dentysty
Przed wizytą u dentysty, wiele osób odczuwa lęk i niepokój. Aby zminimalizować te uczucia, warto zastosować techniki relaksacyjne. Jedną z najskuteczniejszych metod jest głębokie oddychanie. Polega na powolnym wdechu przez nos, a następnie długim wydechu przez usta. Powtarzanie tego ćwiczenia przez kilka minut może znacząco obniżyć poziom stresu.
Czytaj więcej: Jak wyglądają dziąsła przy ząbkowaniu zdjęcia - co powinno niepokoić?
Inną efektywną techniką jest wizualizacja. Wyobrażenie sobie spokojnego miejsca, takiego jak plaża czy las, pomaga oderwać myśli od nadchodzącego zabiegu. Pacjenci mogą również spróbować medytacji lub słuchania relaksującej muzyki, co dodatkowo sprzyja uspokojeniu. Dzięki tym prostym technikom, można znacznie zredukować lęk przed wizytą u dentysty.
Co zrobić, aby zminimalizować dyskomfort podczas zabiegu?
Aby zminimalizować dyskomfort podczas ściągania szwów z dziąsła, warto zastosować kilka prostych strategii. Po pierwsze, przed wizytą dobrze jest unikać kofeiny i napojów energetycznych, które mogą zwiększyć napięcie. Po drugie, warto poinformować dentystę o swoich obawach, co pozwoli mu dostosować podejście do pacjenta i ewentualnie zastosować znieczulenie miejscowe, jeśli zajdzie taka potrzeba.
Dodatkowo, zaleca się, aby pacjenci przybyli na wizytę z odpowiednim nastawieniem. Relaksacja przed zabiegiem oraz skupienie się na pozytywnych myślach mogą pomóc w zredukowaniu odczuwalnego dyskomfortu. Warto również pamiętać, że całe ściąganie szwów trwa zazwyczaj tylko kilka minut, co sprawia, że cała procedura jest szybka i mało inwazyjna.


Kiedy należy usunąć szwy z dziąsła? Kluczowe informacje o terminach
Usunięcie szwów z dziąsła jest kluczowym krokiem w procesie gojenia i powinno być przeprowadzone w odpowiednim czasie. Zazwyczaj zaleca się, aby szwy zostały zdjęte od 7 do 14 dni po zabiegu. W tym okresie tkanka wokół szwów ma czas na odpowiednie zagojenie się, a ich wcześniejsze usunięcie może prowadzić do niepożądanych komplikacji. Właściwy czas usunięcia szwów jest istotny, aby uniknąć ich wrastania w tkankę, co może powodować ból i dyskomfort.
Opóźnienie w zdjęciu szwów może prowadzić do poważniejszych problemów zdrowotnych, takich jak infekcje czy ropny wysięk. W takich przypadkach pacjent może odczuwać silny ból, co wymaga interwencji specjalisty. Dlatego tak ważne jest, aby nie ignorować zaleceń dentysty dotyczących usunięcia szwów. Regularne kontrole u dentysty po zabiegu pozwalają na monitorowanie procesu gojenia i zapewniają, że wszystko przebiega prawidłowo.
Jak opóźnienie w usunięciu szwów może wpływać na zdrowie?
Opóźnienie w usunięciu szwów z dziąsła może prowadzić do poważnych problemów zdrowotnych. W przypadku, gdy szwy pozostają zbyt długo, mogą wrastać w tkankę, co powoduje większy dyskomfort oraz ból. Dodatkowo, istnieje ryzyko wystąpienia infekcji, która może prowadzić do ropnych wysięków, a nawet do ogólnych problemów zdrowotnych. W takich sytuacjach pacjent może odczuwać silny ból, co wymaga interwencji specjalisty.
Objawy, które mogą wskazywać na potrzebę pilnej interwencji dentystycznej
Po usunięciu szwów, istnieje kilka objawów, które mogą sugerować potrzebę pilnej konsultacji dentystycznej. Jeśli pacjent zauważy silny ból, który nie ustępuje, lub obrzęk w okolicy zabiegu, powinien jak najszybciej zgłosić się do dentysty. Inne niepokojące objawy to ropny wysięk, zaczerwienienie lub gorączka. Ignorowanie tych symptomów może prowadzić do poważniejszych komplikacji zdrowotnych, dlatego ważne jest, aby nie zwlekać z wizytą u specjalisty.
| Objaw | Działanie |
| Silny ból | Natychmiastowa konsultacja z dentystą |
| Ropny wysięk | Skontaktuj się z lekarzem jak najszybciej |
| Obrzęk | Obserwuj stan, w razie nasilenia zgłoś się do dentysty |
| Zaczerwienienie | Monitoruj objaw, jeśli się pogarsza, udaj się do specjalisty |
| Gorączka | Skontaktuj się z lekarzem |
