Jak goi się dziąsło po wyrwaniu zęba? Czego się spodziewać i jak dbać?
Dowiedz się, jak goi się dziąsło po wyrwaniu zęba, jakie są etapy gojenia oraz jak dbać o ranę, aby przyspieszyć regenerację i uniknąć powikłań.
Dziąsła to kluczowy element zdrowia jamy ustnej, a ich kondycja ma wpływ na ogólny stan zdrowia. W tej kategorii znajdziesz artykuły dotyczące profilaktyki, pielęgnacji oraz najczęstszych problemów związanych z dziąsłami. Przybliżymy Ci tematy takie jak zapalenie dziąseł, sposoby ich wzmocnienia oraz jak skutecznie dbać o higienę jamy ustnej. Nasze porady są oparte na rzetelnych źródłach i doświadczeniu specjalistów, co pozwoli Ci lepiej zrozumieć, jak dbać o swoje zdrowie. Zachęcamy do lektury i odkrycia, jak niewielkie zmiany mogą przynieść wielkie korzyści dla Twojego uśmiechu!
Dowiedz się, jak goi się dziąsło po wyrwaniu zęba, jakie są etapy gojenia oraz jak dbać o ranę, aby przyspieszyć regenerację i uniknąć powikłań.
Ile kosztuje przeszczep dziąsła? Sprawdź ceny w klinikach w Polsce i dowiedz się, jakie dodatkowe wydatki mogą Cię czekać przed zabiegiem.
Dowiedz się, czym smarować dziąsło po wyrwaniu zęba, aby uniknąć bólu i infekcji. Sprawdź skuteczne metody i naturalne środki wspomagające gojenie.
Dowiedz się, co wzmacnia zęby i dziąsła dzięki odpowiedniej diecie i higienie. Odkryj skuteczne metody na zdrowe zęby i piękne uśmiechy.
Szukasz skutecznych metod, jak stosować propolis na dziąsła? Dowiedz się, jak szybko złagodzić ból i stan zapalny dzięki naturalnym właściwościom propolisu.
Skuteczne sposoby na podrażnione dziąsła. Dowiedz się, co na podrażnione dziąsła pomoże złagodzić ból i wspierać zdrowie jamy ustnej.
Czy ściąganie szwów z dziąsła boli? Dowiedz się, jakie odczucia towarzyszą temu zabiegowi i jak zminimalizować ewentualny dyskomfort.
Znajdź skuteczne metody na ból dziąseł i dowiedz się, co pomaga na bolące dziąsła. Odkryj naturalne i apteczne rozwiązania dla zdrowia jamy ustnej.
Skuteczne metody i domowe sposoby na to, jak leczyć zapalenie dziąseł. Dowiedz się, jak dbać o zdrowie jamy ustnej i uniknąć nawrotów.
Skuteczne metody na leczenie rany na dziąśle jak wyleczyć, aby uniknąć bólu i powikłań. Sprawdź domowe sposoby i zalecenia dentystyczne.
Masz opuchnięte dziąsła? Sprawdź skuteczne metody na ulgę i profilaktykę, które pomogą Ci zadbać o zdrowie jamy ustnej i uniknąć bólu.
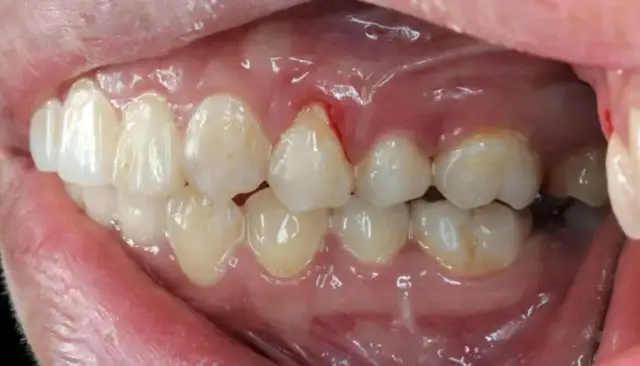
Dowiedz się, jakie są najczęstsze przyczyny krwawienia dziąseł oraz jak skutecznie unikać tego problemu, aby cieszyć się zdrowym uśmiechem.
Poznaj objawy zapalenia dziąseł u dziecka, takie jak krwawienie i obrzęk. Dowiedz się, jak je rozpoznać i skutecznie leczyć.
Dowiedz się, dlaczego dziąsła się cofają i jakie są ich przyczyny oraz skutki recesji. Zadbaj o zdrowie jamy ustnej i poznaj skuteczne metody zapobiegania.
Jak odbudować dziąsła? Poznaj skuteczne metody i porady, które pomogą Ci przywrócić zdrowie dziąseł i cieszyć się pięknym uśmiechem.
Szukasz skutecznych sposobów na ból dziąseł? Sprawdź domowe remedia i porady dentystyczne, które przyniosą ulgę i poprawią zdrowie jamy ustnej.
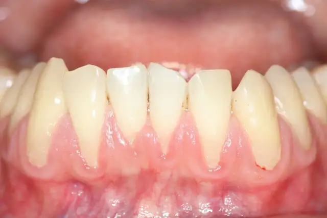
Ile goi się dziąsło po wyrwaniu zęba? Dowiedz się, jak długo trwa gojenie oraz poznaj ważne wskazówki, które przyspieszą proces regeneracji.
Zobacz, jak wyglądają dziąsła przy ząbkowaniu zdjęcia i dowiedz się, co powinno niepokoić. Sprawdź, jakie zmiany są normalne, a które wymagają uwagi.
Dowiedz się, co jest dobre na dziąsła. Poznaj skuteczne metody i naturalne sposoby na zdrowe dziąsła, które poprawią Twoje samopoczucie.
Poznaj najważniejsze objawy nowotworu dziąseł i dowiedz się, jak je rozpoznać. Wczesne wykrycie zwiększa szanse na skuteczne leczenie.
Szukasz skutecznych metod na ból dziąsła przy zębie? Sprawdź przyczyny dolegliwości oraz sprawdzone sposoby na ulgę w bólu dziąseł.
Skuteczne płukanki na stan zapalny dziąseł czym płukać? Sprawdź naturalne rozwiązania, które pomogą złagodzić objawy i zadbać o zdrowie jamy ustnej.
Dowiedz się, jak wzmocnić dziąsła i uniknąć problemów z krwawieniem dzięki skutecznym technikom higieny, diecie i nowoczesnym rozwiązaniom.
Skuteczne metody leczenia ropy w dziąśle, objawy oraz porady, jak zadbać o zdrowie jamy ustnej. Dowiedz się, co na ropę w dziąśle pomoże!
Dowiedz się, jak wygląda zapalenie dziąseł i jakie objawy mogą cię zaskoczyć. Zrozum znaczenie wczesnej diagnozy dla zdrowia jamy ustnej.