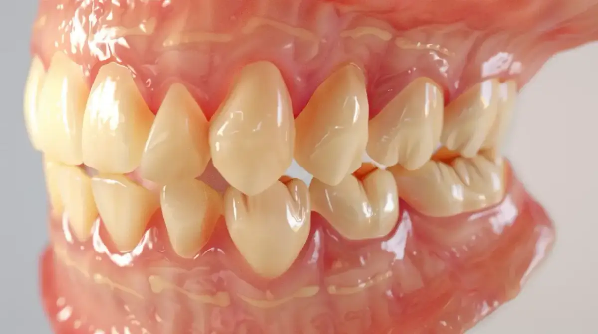
Kamień nazębny to zmineralizowana warstwa, która przylega do powierzchni zębów i może prowadzić do poważnych problemów zdrowotnych, jeśli nie zostanie usunięta. Zwykłe szczotkowanie i nitkowanie nie są wystarczające, aby skutecznie pozbyć się tego osadu. W artykule przedstawimy skuteczne metody usuwania kamienia oraz porady dotyczące zdrowia jamy ustnej, które pomogą w utrzymaniu pięknego uśmiechu.
Dowiesz się, jakie są profesjonalne zabiegi, takie jak skaling i piaskowanie, które są najskuteczniejszymi metodami usuwania kamienia. Oprócz tego omówimy domowe sposoby, które mogą pomóc w zapobieganiu jego powstawaniu oraz jak dbać o zęby po zabiegu. Regularne wizyty u stomatologa są kluczowe dla zdrowia jamy ustnej, a ten artykuł dostarczy Ci niezbędnych informacji, aby dbać o swoje zęby w najlepszy sposób.
Kluczowe informacje:- Kamień nazębny to twarda warstwa, która wymaga profesjonalnego usunięcia.
- Najskuteczniejszą metodą jest skaling, który usuwa kamień za pomocą ultradźwięków.
- Piaskowanie zębów to alternatywna metoda, która oczyszcza zęby strumieniem wody i drobnych cząsteczek.
- Domowe metody, takie jak pasta z sodą oczyszczoną, mogą pomóc w zapobieganiu powstawaniu kamienia.
- Regularne wizyty u stomatologa co najmniej raz na pół roku są kluczowe dla utrzymania zdrowia jamy ustnej.
- Po zabiegu skalingu zaleca się stosowanie "Białej diety" oraz płukanek z chlorheksydyną.
Jak skutecznie usunąć kamień z zębów w gabinecie stomatologicznym
Usuwanie kamienia nazębnego to kluczowy element dbania o zdrowie jamy ustnej. Profesjonalne metody są jedynym skutecznym sposobem na pozbycie się zmineralizowanej warstwy, która przylega do zębów. Najczęściej stosowaną metodą jest skaling, który wykorzystuje ultradźwięki do rozładowania kamienia z powierzchni zębów i przestrzeni międzyzębowych. Alternatywnie, w gabinetach stomatologicznych stosuje się również piaskowanie, które polega na oczyszczaniu zębów strumieniem wody i drobnych cząsteczek środka polerującego.
Warto podkreślić, że profesjonalne zabiegi są nie tylko skuteczne, ale i niezbędne. Skaling oraz piaskowanie są zabiegami, które nie tylko usuwają kamień, ale także zapobiegają dalszym problemom zdrowotnym, takim jak choroby dziąseł. Regularne wizyty u stomatologa, zalecane co sześć miesięcy, są kluczowe dla utrzymania zdrowia jamy ustnej. Poniżej znajduje się tabela porównawcza skuteczności i czasu trwania obu metod.
| Metoda | Skuteczność | Czas trwania |
| Skaling | Wysoka | 30-60 minut |
| Piaskowanie | Średnia | 15-30 minut |
Skaling jako najskuteczniejsza metoda usuwania kamienia
Skaling to zabieg, który skutecznie eliminuje kamień nazębny. Podczas skalingu stomatolog używa specjalistycznych narzędzi, które emitują ultradźwięki. Te fale dźwiękowe rozbijają twardą warstwę kamienia, umożliwiając jej łatwe usunięcie. Dzięki temu zabiegowi zyskujesz nie tylko czystsze zęby, ale także zdrowsze dziąsła, co jest kluczowe dla ogólnego zdrowia jamy ustnej.
Efekty po skalingu są natychmiastowe. Pacjenci często zauważają poprawę w wyglądzie swoich zębów oraz odczuwają ulgę od dyskomfortu spowodowanego obecnością kamienia. Skaling jest zabiegiem bezpiecznym, a jego regularne wykonywanie pozwala na długotrwałe utrzymanie zdrowia jamy ustnej.
Piaskowanie zębów: Alternatywna metoda oczyszczania
Piaskowanie zębów to nowoczesna metoda, która skutecznie eliminuje osady i przebarwienia z powierzchni zębów. Proces piaskowania polega na użyciu strumienia wody połączonego z drobnymi cząsteczkami środka polerującego, które delikatnie usuwają zanieczyszczenia. Ta technika jest szczególnie zalecana dla osób, które mają problem z osadem nikotynowym lub kawowym, ponieważ skutecznie przywraca naturalny blask zębów.
Piaskowanie jest także mniej inwazyjne niż inne metody, co czyni je idealnym rozwiązaniem dla pacjentów, którzy obawiają się bólu lub dyskomfortu. Zabieg ten trwa zazwyczaj krócej niż skaling, co czyni go wygodnym rozwiązaniem dla osób z napiętym harmonogramem. Warto jednak pamiętać, że piaskowanie nie zastępuje skalingu i powinno być stosowane jako uzupełnienie profesjonalnej higieny jamy ustnej.
Czytaj więcej: Jak zatamować krwotok po wyrwaniu zęba i uniknąć powikłań
Skuteczne przepisy na pasty do zębów z naturalnych składników
Domowe pasty do zębów to świetny sposób na dbanie o zdrowie jamy ustnej przy użyciu naturalnych składników. Jednym z popularnych przepisów jest pasta z sody oczyszczonej i oleju kokosowego. Aby ją przygotować, wymieszaj 2 łyżki sody oczyszczonej z 1 łyżką oleju kokosowego, dodając kilka kropel olejku eterycznego z mięty pieprzowej dla świeżości. Taka pasta skutecznie pomaga w usuwaniu osadów i przebarwień, a także działa antybakteryjnie.
Innym skutecznym przepisem jest pasta z węgla aktywnego. Wymieszaj 1 łyżeczkę sproszkowanego węgla aktywnego z 1 łyżką wody, tworząc pastę. Ta mieszanka jest znana ze swoich właściwości wybielających i skutecznie usuwa przebarwienia. Ważne jest, aby stosować te pasty z umiarem, aby nie uszkodzić szkliwa. Pamiętaj, że naturalne składniki mogą wspierać codzienną higienę, ale nie zastąpią profesjonalnych zabiegów stomatologicznych.
- Soda oczyszczona: pomaga w usuwaniu osadów i przebarwień.
- Olej kokosowy: działa antybakteryjnie i nawilżająco.
- Węgiel aktywny: skutecznie wybiela zęby i usuwa przebarwienia.
Płukanki i inne domowe sposoby na utrzymanie czystości
Płukanki do ust to doskonały sposób na wspomaganie codziennej higieny jamy ustnej. Jednym z najprostszych przepisów jest płukanka z wody utlenionej, która ma właściwości dezynfekujące. Wymieszaj 1 część wody utlenionej z 2 częściami wody i płucz usta przez około 30 sekund. Taka płukanka pomaga w eliminacji bakterii i odświeża oddech.
Innym skutecznym sposobem jest płukanka z ocetu jabłkowego. Wymieszaj 1 łyżkę octu jabłkowego z 1 szklanką wody i używaj jako płukanki po szczotkowaniu. Ocet jabłkowy pomaga w usuwaniu osadów i działa przeciwzapalnie. Pamiętaj, aby nie stosować tych płukanek zbyt często, aby nie uszkodzić szkliwa.

Jak dbać o higienę jamy ustnej po usunięciu kamienia
Po zabiegu usunięcia kamienia nazębnego niezwykle ważne jest, aby odpowiednio dbać o higienę jamy ustnej. Utrzymanie czystości zębów po skalingu lub piaskowaniu pomoże zapobiec ponownemu gromadzeniu się osadów. Zaleca się stosowanie miękkiej szczoteczki do zębów oraz pasty, która nie zawiera agresywnych substancji. Ponadto, warto unikać spożywania barwiących pokarmów i napojów przez co najmniej 24 godziny po zabiegu, aby nie uszkodzić świeżo oczyszczonych zębów.Regularne płukanie jamy ustnej płynem antybakteryjnym może również pomóc w utrzymaniu zdrowia zębów i dziąseł. Wizyty kontrolne u stomatologa co najmniej raz na pół roku są kluczowe, aby monitorować stan zdrowia jamy ustnej i zapobiegać gromadzeniu się kamienia. Pamiętaj, że odpowiednia higiena jamy ustnej to inwestycja w zdrowie, która przynosi długoterminowe korzyści.
Znaczenie regularnych wizyt u stomatologa dla zdrowia zębów
Regularne wizyty u stomatologa są niezbędne dla utrzymania zdrowia jamy ustnej. Kontrolne badania pozwalają na wczesne wykrywanie problemów, takich jak próchnica czy choroby dziąseł, które mogą prowadzić do poważniejszych komplikacji. Stomatolog może również przeprowadzić profesjonalne czyszczenie, które skutecznie usunie osady i zapobiegnie ich ponownemu gromadzeniu się.
Wizyty co sześć miesięcy to standard, który pozwala na utrzymanie zdrowych zębów i dziąseł. To także doskonała okazja, aby zasięgnąć porady dotyczącej higieny jamy ustnej oraz dowiedzieć się o najnowszych metodach dbania o zęby. Pamiętaj, że zdrowe zęby to nie tylko estetyka, ale przede wszystkim zdrowie całego organizmu.
Dieta i nawyki, które wspierają zdrowe zęby i dziąsła
Odpowiednia dieta i zdrowe nawyki mają kluczowe znaczenie dla utrzymania zdrowia zębów i dziąseł. Spożywanie pokarmów bogatych w wapń, takich jak nabiał, orzechy i zielone warzywa liściaste, wspiera mineralizację zębów. Owoce i warzywa, szczególnie te bogate w witaminę C, jak pomarańcze i papryka, pomagają w utrzymaniu zdrowych dziąseł. Unikanie nadmiernej ilości cukrów oraz napojów gazowanych również jest istotne, ponieważ sprzyjają one powstawaniu osadów i kamienia nazębnego.Oprócz diety, regularne picie wody, szczególnie fluorowanej, może wspierać zdrowie jamy ustnej. Fluor wzmacnia szkliwo i pomaga w zapobieganiu próchnicy. Warto również pamiętać o ograniczeniu spożycia przekąsek między posiłkami, aby zmniejszyć ryzyko gromadzenia się bakterii w jamie ustnej. Dbanie o zdrowe nawyki żywieniowe to kluczowy krok w kierunku zapobiegania powstawaniu kamienia nazębnego.
- Produkty mleczne: źródło wapnia, wspierają mineralizację zębów.
- Owoce i warzywa: bogate w witaminę C, pomagają w zdrowiu dziąseł.
- Woda fluorowana: wzmacnia szkliwo i zapobiega próchnicy.
Jak technologia może wspierać zdrowie jamy ustnej w przyszłości
W miarę jak technologia rozwija się, pojawiają się nowe narzędzia i aplikacje, które mogą znacznie wspierać zdrowie jamy ustnej. Na przykład, inteligentne szczoteczki do zębów wyposażone w czujniki mogą analizować technikę szczotkowania i dostarczać spersonalizowane porady dotyczące higieny jamy ustnej. Dzięki tym innowacjom użytkownicy mogą lepiej kontrolować swoje nawyki i skuteczniej zapobiegać gromadzeniu się kamienia nazębnego.
Innym interesującym trendem są aplikacje mobilne, które umożliwiają śledzenie diety oraz nawyków związanych ze zdrowiem jamy ustnej. Te aplikacje mogą przypominać o regularnych wizytach u stomatologa, a także oferować porady dotyczące zdrowego odżywiania, które wspierają zdrowe zęby i dziąsła. Takie połączenie technologii z codziennymi nawykami staje się kluczowym elementem w walce z problemami stomatologicznymi i może znacząco poprawić jakość życia użytkowników.
