- Zapalenie dziąseł objawia się zaczerwienieniem, opuchlizną i krwawieniem dziąseł.
- Objawy mogą obejmować podrażnienia, ból oraz nieprzyjemny zapach z ust.
- Wczesne wykrycie zapalenia dziąseł jest kluczowe dla zapobiegania poważniejszym schorzeniom.
- Nieleczone zapalenie dziąseł może prowadzić do zaawansowanego zapalenia przyzębia.
- Przyczyny zapalenia dziąseł często związane są z nieprawidłową higieną jamy ustnej.
- Zmiany w stylu życia, takie jak zdrowa dieta i regularne szczotkowanie, mogą pomóc w zapobieganiu zapaleniu dziąseł.
Jak wyglądają objawy zapalenia dziąseł i ich znaczenie dla zdrowia?
Zapalenie dziąseł to powszechny problem, który może dotknąć każdego. Objawy, które się z nim wiążą, są istotne nie tylko dla zdrowia jamy ustnej, ale również dla ogólnego stanu zdrowia. Wczesne rozpoznanie tych symptomów jest kluczowe, ponieważ mogą one prowadzić do poważniejszych schorzeń, takich jak zapalenie przyzębia, jeśli nie zostaną odpowiednio zdiagnozowane i leczone. Dlatego ważne jest, aby zwracać uwagę na wszelkie zmiany w stanie dziąseł.
Wiele osób nie zdaje sobie sprawy z tego, jak istotne są objawy zapalenia dziąseł. Często mylnie sądzimy, że drobne dolegliwości są normalne i nie wymagają interwencji. Jednak nieleczone zapalenie dziąseł może prowadzić do poważnych konsekwencji zdrowotnych. Dlatego edukacja na temat objawów i ich znaczenia jest kluczowa, by móc szybko reagować i dbać o zdrowie jamy ustnej.
Objawy zapalenia dziąseł, które mogą cię zaskoczyć
Wiele osób kojarzy zapalenie dziąseł z krwawieniem podczas szczotkowania, ale istnieje wiele innych objawów, które mogą być zaskakujące. Oto pięć mniej znanych symptomów, które mogą świadczyć o zapaleniu dziąseł:- Uczucie ciężkości w dziąsłach, które może być mylone z bólem zębów.
- Nieprzyjemny zapach z ust, który nie znika nawet po szczotkowaniu.
- Zmiana koloru dziąseł na purpurowy lub ciemnoczerwony.
- Podrażnienia, które mogą prowadzić do owrzodzeń w jamie ustnej.
- Wrażliwość dziąseł na ciepłe lub zimne pokarmy i napoje.
Jak rozpoznać zapalenie dziąseł na podstawie wizualnych oznak?
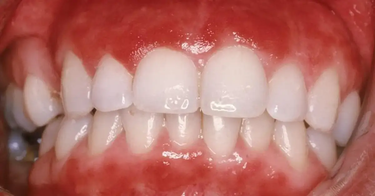
Rozpoznanie zapalenia dziąseł na podstawie wizualnych oznak jest kluczowe dla wczesnej interwencji. Zmiany w wyglądzie dziąseł mogą być pierwszym sygnałem, że coś jest nie tak. Zwróć uwagę na zaczerwienienie, opuchliznę oraz krwawienie podczas szczotkowania zębów. W zdrowych dziąsłach kolor powinien być różowy, a ich powierzchnia gładka. Jeśli zauważysz jakiekolwiek nieprawidłowości, takie jak zmiana koloru na ciemnoczerwony lub purpurowy, to może być oznaka zapalenia.
Wizualne oznaki zapalenia dziąseł mogą być subtelne, ale ich identyfikacja jest kluczowa. Regularne samodzielne kontrole mogą pomóc w zauważeniu zmian na wczesnym etapie. Dobrze jest również pamiętać, że nawet niewielkie objawy, takie jak podrażnienia czy uczucie ciężkości w dziąsłach, mogą świadczyć o poważniejszych problemach. Wczesne rozpoznanie może zapobiec dalszemu rozwojowi choroby.
| Stan dziąseł | Opis |
|---|---|
| Zdrowe dziąsła | Różowy kolor, gładka powierzchnia, brak krwawienia. |
| Zapalenie dziąseł | Ciemnoczerwony kolor, opuchlizna, krwawienie podczas szczotkowania. |
Dlaczego wczesne wykrycie zapalenia dziąseł jest kluczowe dla zdrowia?
Wczesne wykrycie zapalenia dziąseł jest niezwykle ważne, ponieważ może mieć istotny wpływ na zdrowie ogólne. Jeśli zapalenie dziąseł pozostanie nierozpoznane i nieleczone, może prowadzić do poważnych problemów zdrowotnych, które wykraczają poza jamę ustną. Badania pokazują, że istnieje związek między zapaleniem dziąseł a chorobami serca, cukrzycą oraz innymi schorzeniami. Dlatego kluczowe jest, aby nie ignorować objawów i regularnie kontrolować stan zdrowia jamy ustnej.
Wczesna diagnoza pozwala na podjęcie odpowiednich działań, co może zapobiec dalszemu rozwojowi choroby. Osoby, które na czas reagują na symptomy zapalenia dziąseł, mają większe szanse na uniknięcie poważniejszych konsekwencji zdrowotnych. Warto pamiętać, że zapalenie dziąseł to nie tylko problem estetyczny, ale również sygnał, że organizm może zmagać się z innymi schorzeniami. Dlatego regularne wizyty u dentysty oraz dbałość o higienę jamy ustnej są niezbędne dla zachowania zdrowia.
Jakie są długoterminowe skutki nieleczonego zapalenia dziąseł?
Nieleczone zapalenie dziąseł może prowadzić do poważnych długoterminowych skutków zdrowotnych. Przede wszystkim, może się rozwinąć w zaawansowane zapalenie przyzębia, które prowadzi do utraty zębów. Ponadto, badania wykazały, że osoby z przewlekłym zapaleniem dziąseł mają wyższe ryzyko wystąpienia chorób serca, ponieważ stan zapalny w jamie ustnej może wpływać na stan naczyń krwionośnych. Długoterminowe skutki mogą obejmować także problemy z układem oddechowym, a nawet zwiększone ryzyko wystąpienia cukrzycy. Dlatego tak ważne jest, aby nie lekceważyć objawów zapalenia dziąseł i podejmować działania w celu ich leczenia.
Jak zapalenie dziąseł może wpływać na ogólne zdrowie organizmu?
Zapalenie dziąseł ma potencjał, aby wpływać na wiele aspektów zdrowia ogólnego. Badania pokazują, że stan zapalny w jamie ustnej może prowadzić do poważnych problemów zdrowotnych, takich jak choroby serca. Związane z tym procesy zapalne mogą powodować uszkodzenie naczyń krwionośnych, co zwiększa ryzyko wystąpienia miażdżycy. Dodatkowo, osoby z zapaleniem dziąseł są bardziej narażone na rozwój cukrzycy, ponieważ stan zapalny może wpływać na poziom insuliny w organizmie, co z kolei utrudnia kontrolowanie poziomu cukru we krwi.
Nie można również zapominać o wpływie zapalenia dziąseł na układ oddechowy. Osoby z przewlekłym zapaleniem dziąseł mogą mieć wyższe ryzyko wystąpienia chorób płuc, takich jak zapalenie oskrzeli czy zapalenie płuc. Stan zapalny w jamie ustnej może prowadzić do rozprzestrzeniania się bakterii do innych części ciała, co zagraża ogólnemu zdrowiu. Dlatego tak ważne jest, aby dbać o higienę jamy ustnej i regularnie kontrolować stan dziąseł, aby uniknąć poważnych konsekwencji zdrowotnych.

Jak nieprawidłowa higiena jamy ustnej prowadzi do zapalenia dziąseł?
Nieprawidłowa higiena jamy ustnej jest jednym z głównych czynników przyczyniających się do rozwoju zapalenia dziąseł. Gdy nie dbamy o regularne szczotkowanie zębów oraz nitkowanie, resztki jedzenia oraz płytka nazębna gromadzą się na zębach i dziąsłach. To prowadzi do powstawania bakterii, które mogą powodować stan zapalny. Bez odpowiedniej higieny, dziąsła stają się zaczerwienione, spuchnięte i bardziej podatne na krwawienie. Dlatego tak ważne jest, aby codziennie dbać o czystość jamy ustnej, aby uniknąć problemów zdrowotnych związanych z zapaleniem dziąseł.
Jakie inne czynniki mogą zwiększać ryzyko wystąpienia zapalenia dziąseł?
Oprócz nieprawidłowej higieny jamy ustnej, istnieje wiele innych czynników, które mogą zwiększać ryzyko wystąpienia zapalenia dziąseł. Palenie tytoniu to jeden z najważniejszych czynników ryzyka, który osłabia zdrowie dziąseł i utrudnia ich gojenie. Również niezdrowa dieta, bogata w cukry i uboga w witaminy, może przyczyniać się do problemów z dziąsłami. Dodatkowo, stres oraz niektóre choroby, takie jak cukrzyca, mogą zwiększać podatność na zapalenie dziąseł. Dlatego warto dbać nie tylko o higienę jamy ustnej, ale także o zdrowy styl życia, aby zminimalizować ryzyko wystąpienia tego schorzenia.
Jak technologia może wspierać zdrowie dziąseł i jamy ustnej?
W dzisiejszych czasach, technologia odgrywa coraz większą rolę w dbaniu o zdrowie jamy ustnej, a jej zastosowanie może znacząco wpłynąć na profilaktykę zapalenia dziąseł. Nowoczesne aplikacje mobilne oraz urządzenia do monitorowania zdrowia mogą pomóc użytkownikom w utrzymaniu regularnych nawyków higienicznych, przypominając o codziennym szczotkowaniu zębów i nitkowaniu. Dzięki tym narzędziom, można także śledzić postępy w zdrowiu jamy ustnej oraz uzyskiwać porady dotyczące diety i stylu życia, które wspierają zdrowe dziąsła.
Co więcej, inteligentne szczoteczki do zębów wyposażone w czujniki mogą dostarczać informacji o technice szczotkowania oraz obszarach, które wymagają większej uwagi. Takie innowacje umożliwiają użytkownikom bardziej świadome podejście do higieny jamy ustnej, co może prowadzić do znacznego zmniejszenia ryzyka zapalenia dziąseł. W przyszłości, rozwój technologii może również obejmować telemedycynę, co pozwoli na zdalne konsultacje z dentystami i specjalistami, zwiększając dostępność opieki stomatologicznej dla osób z ograniczonym dostępem do tradycyjnych usług.
