
Witamy na stronieWitryna prosi o zgodę na wykorzystanie Twoich danych
- Spersonalizowane reklamy i treści, pomiar reklam i treści, badanie odbiorców i ulepszanie usług
- Przechowywanie informacji na urządzeniu lub dostęp do nich
Twoje dane osobowe będą przetwarzane, a informacje z Twojego urządzenia (pliki cookie, unikalne identyfikatory itp.) mogą być wyświetlane i zapisywane przez 137 dostawców spełniających wymogi TFC oraz partnerów reklamowych (62) lub im udostępniane. Mogą też być wykorzystywane przez tę witrynę lub aplikację.
Niektórzy dostawcy mogę przetwarzać Twoje dane osobowe na podstawie uzasadnionego interesu. Możesz się na to nie zgodzić nie akceptując zgody poprzez kliknięcie przycisku poniżej.
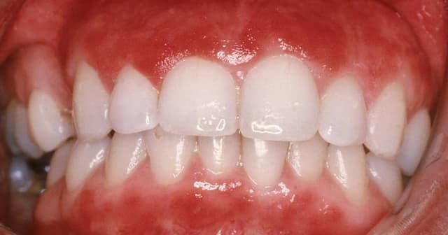
Tag jak rozpoznać zapalenie dziąseł
